26 Nov 2022, 15:11
ދުފުން ނުވަތަ އަނގަ މީރުކޮށްލުމަށް ރޯ ފޯއް ނުވަތަ ސުޕާރީ ކައި އުޅުމަކީ ދިވެހީންގެ މެދުގައި ވަރަށް އާންމު ކަމެކެވެ. ދުފާ ތަބަކެއް ނުހުންނަ ގެއެއް އަހަރެމެންގެ ތެރޭގައި މަދުވާނެއެވެ.
ކިތަންމެ އާންމު ކަމެއް ކަމުގައި ވީނަމަވެސް މިއީ ސިއްހަތަށް އޭގެ ނޭދެވޭ އަސަރު އިންތިހާއަށް ކުރިމަތި ކުރުވާ ކަމެކެވެ. ދުފުމުގެ ސަބަބުން ފުރާނަ ނުރައްކަލަކަށް ހުށަހެޅޭ ފަހަރު މަދުން ނަމަވެސް ދިމާވެއެވެ.
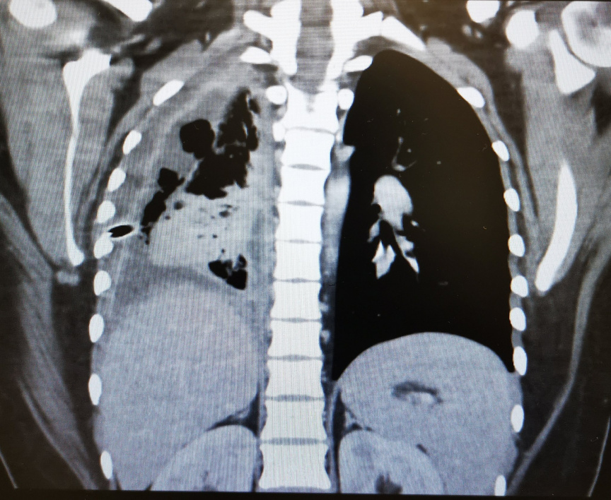
ފުއްޕާމޭގެ ބަލިތަކަށް ޚާއްސަ ޑޮކްޓަރެއް ކަމަށްވާ ޑރ. މުހައްމަދު އިސްމާއީލް ރޭ ޓްވިޓާގައި ހިއްސާ ކުރައްވާފައިވަނީ މިފަދަ ނުރައްކާތެރި ހާދިސާއެކެވެ. ފުއްޕާމޭގައި ވަރަށް ބޮޑަށް އިންފެކްޝަން އުފެދިފައި ހުރި ޒުވާން އަންހެން ކުއްޖެއްގެ ވާހަކައެވެ.
ޑރ. ވިދާޅުވިގޮތުގައި އެކުއްޖާގެ ފުއްޕާމޭގައި އިންފެކްޝަން އުފެދި ނޭވާލާ ނިޒާމުގައި ފެން އުފެދިފައި ހުރުމުން އިތުރަށް ހެދި ތަހުލީލުތަކުން ހާމަވީ ސުޕާރީ ފުކެއްގެ ސަބަބުން އެކުއްޖާގެ ފުއްޕާމޭގެ ކަނާތްފަޅި މުޅީން ބެދިފައިވާ ކަމެވެ.
ބްރޯންކޮސްކޮޕީ [ފުއްޕާމޭގައި މައްސަލައެއް ހުރިތޯ ބެލުމަށް ހޮޅި ލައްވައިގެން ހަދާ ޓެސްޓެއް] ހެދުމުން ލިބިގެންދިޔައީ ކުއްލި ހައިރާން ކަމެއް. އެކުއްޖާގެ ފުއްޕާމޭގެ ކަނާތްފަޅި ބެދިފައި ހުރީ ސުޕާރީ ފުކެއް ތާށިވެގެން.ޑރ. މުހައްމަދު އިސްމާއީލް

ޑރ. މުހައްމަދު އިސްމާއީލް ޓްވިޓާގައި ހިއްސާކުރައްވާފައިވާ ފުއްޕާމޭގެ އެކްސްރޭ
ކާއެއްޗެހީގެ ސަބަބުން ފުއްޕާމޭ ބެދެނީ ކީއްވެ؟
ކާބޯތަކެތި ނުވަތަ ދިޔާ ތަކެތި ދިރުމުގެ ބަދަލުގައި ނޭވާލާ ނިޒާމަށް ނުވަތަ ފުއްޕާމެއަށް ވާސިލްވުމުން ފުއްޕާމޭ ދުޅަވުން ނުވަތަ އިންފެކްޝަން އުފެދުމަށް ކިޔަނީ އެސްޕިރޭޝަން ނިއުމޯނިއާއެވެ. ކައިބޮއެ ހަދާއިރު ނުވަތަ ހޮޑުލެވޭ ވަގުތުވެސް މިފަދަ ކަމެއް ކުރިމަތި ވެދާނެއެވެ.
އެސްޕިރޭޝަން ނިއުމޯނިއާގެ ސަބަބުން ފުއްޕާމޭގައި އުފެދޭ އިންފެކްޝަން ލޭގެ ތެރެއަށާއި ހަށިގަނޑުގެ އެހެނިހެން ގުނަންތަކަށް ވާސިލްވުމުގެ ފުރުސަތު އޮވެއެވެ. އަދި ފަރުވާ ނުލިބި ގިނަދުވަސް ވެއްޖެ ނަމަ ނޭވާލާ ނިޒާމު ފެއިލް ވުމުގެ އިތުރުން ސިކުނޑި ޝޮކަށް ގޮސް މަރުވުމަކީވެސް އެކަށީގެންވާ ކަމެއް ކަމަށް ސިއްހީ މާހިރުން ބުނެއެވެ.
މިބަލީގެ އަލާމާތްތަކުގެ ތެރޭގައި މޭގައި ރިއްސުން، ހީކެރުވުން، ހުންއައުން، ނޭވާ ކުރުވުން އަދި ތުންފަތުގެ ކުލަ ހުދުވުން ފަދަ އަލާމާތް ހިމެނެއެވެ.
ސިއްހީ މާހިރުން ބުނާ ގޮތުގައި ކާއިރު މާ އަވަސް އަވަހަށް ކެއުމާއި، ކާއިރު ވާހަކަދައްކައި، ހީ ސަކަރާތް ޖެހުން ފަދަ ކަންކަން ކުރާ ނަމަ ކާއެއްޗެހި ފުއްޕާމެއަށް ވާސިލްވުމުގެ ފުރުސަތު ބޮޑެވެ. އަނގައިގައި ހުންނަ އެއްޗެހި ނޭވާ ހޮޅިއަށް ވަނުމުން ރައްކާތެރިކޮށްދޭ ޓިޝޫ ފަށަލައެއް އަރު ތެރޭގައި ހުރެއެވެ. މި ފަށަލަ ހުޅުވެނީ ނޭވާ ލާންވުމުންނެވެ. އެހެން ނަމަވެސް، އަނގަތެރޭ ކާއެއްޗެހި ބަހައްޓައިގެން ވާހަކަދެއްކުން ފަދަ ކަންކަން ކުރުމުން އެފަށަލަ ހުޅުވެއެވެ. ނޭވާ ހޮޅިއަށް ކާއެއްޗެހި ވާސިލްވާން މެދުވެރި ވަނީ އެހެންވެގެންނެވެ.
ދުފާއިރު ބައެއްފަހަރު ފޯއްކޮށި އަރާގޮތްވަނީ މިހެންވެއެވެ. ފޯކަކީ އަނގަމީރުކޮށްލަން ކާއެއްޗެއް ނަމަވެސް ދިވެހީންގެ ތެރޭގައި ބަނޑުކެއުމުގެ އުސޫލުން އެއްފަހަރާ ބައިވަރު ސުޕާރީ ކާ މީހުން މަދެއް ނޫނެވެ. އެކުއްޖާގެ މޭގައި އިންފެކްޝަން އުފެދުނު ސަބަބު ދެނެގަތުމަށް ސުވާލު ކުރުމުން ވަރަށް ގިނައިން ސުޕާރީ ކާ ކަމަށް އޭނާ އެއްބަސްވި ކަމަށް ޑރ. މުހައްމަދު އިސްމާއީލް ވިދާޅުވިއެވެ.
އާންމުކޮށް ގަދަޔަށް ދުފައި އުޅެނީ ދޮށީ އުމުރުގެ މީހުން ނަމަވެސް، ޒުވާނުންގެ މެދުގައިވެސް މި ނޭދެވޭ އާދަ އަންނަނީ މަޑުމަޑުން އިތުރުވަމުންނެވެ. ކިތަންމެ މީރުވިޔަސް ދުފާއެއްޗެހީގެ ސަބަބުން ފުރާނައަށް ނުރައްކާވެދާނެ ކަން މި ހާދިސައިންވެސް ހާމަވެއެވެ. ފުއްޕާމޭގެ ބަލިތަކުގެ އިތުރުންވެސް ދުފުމުގެ ސަބަބުން ސިއްހީއެތައް ބަލިތަކެއް ކުރިމަތިވެއެވެ.