05 އޯގަސްޓް 2016 - 07:58

ހަށިގަނޑުގެ ބަރުދަން އެކަށީގެންވާ ވަރަށް ވުރެ ބަރުކޮށް ހުންނަ މީހުން އުމުރަށް ވުރެ ދުވަސްވެފައި ހުންނަ ކަމަށް ދައްކަ އެވެ. ދިރާސާއެއްގައި ބުނަނީ މާބޮޑަށް ބަރުވުމުން މުސްކުޅިކޮށްލަނީ ހަމައެކަނި ބޭރުފުށުން ނޫން ކަމަށާއި ސިކުނޑި ވެސް އޭގެ އުމުރަށް ވުރެ ބޮޑަށް މުސްކުޅިވެގެންދާ ކަމަށެވެ.
ކެމްބްރިޖް ޔުނިވަސިޓީގެ ދިރާސާ ޓީމަކުން ބުނީ މާބޮޑަށް ފަލަވުމުން ނުވަތަ އެކަށީގެންވާ ވަރަށް ވުރެ ބަރުވުމުން ހަށިގަނޑުން އަސްލު އުމުރަށް ވުރެ ސިކުނޑީގެ ހާލަތު 10 އަހަރު "މުސްކުޅި"ވާ ކަމަށެވެ.
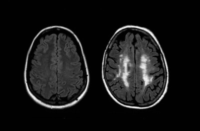
އުމުރުން ދުވަސްވުމުން ސިކުނޑިން މައުލޫމާތު ފޮނުވައިދޭ ބައި ކަމަށްވާ ވައިޓް މެޓާ އަކީ އުމުރުން ދުވަސްވާ ވަރަކަށް މަދުވަމުންދާ އެއްޗެކެވެ. ދިރާސާއިން ދައްކާފައި ވަނީ އެ މީހެއްގެ އުމުރާ އަޅާބަލާއިރު ސިކުނޑީގައި ވައިޓް މެޓާ ހުންނަންޖެހޭ ވަރު، އެ މީހަކީ އެކަށީގެންވާ ވަރަށް ވުރެ ބަރު މީހެއް ނަމަ މާބޮޑަށް މަދުވާ ކަމަށެވެ. މާނަ އަކީ އުމުރުން 50 އަހަރުގެ މީހަކު އޭނާގެ އުމުރާ ނުބައްދަލު ބަރުދަނެއްގައި ހުންނަ ނަމަ ސިކުނޑި 60 އަހަރުގެ މީހެއްގެ ސިކުނޑިއާ އެއް ހާލަތެއްގައި ހުރުމެވެ.
ދިރާސާ ޓީމުން ބުނީ މިއީ ހަށިގަނޑު ފަލަވެ ބަރުދަން އިތުރުވުމުން ސިކުނޑިއަށް ކުރާ އަސަރުތައް ދެނެގަތުމަށް އިތުރު ދިރާސާތައް ކުރަންޖެހޭކަން ހާމަވެގެން ދިޔަ ދިރާސާއެއް ކަމަށެވެ.
މި ދިރާސާކުރުމަށް ކެމްބްރިޖް ސެންޓަ ފޯ އޭޖިން އެންޑް ނިއުރޯސައިންސް އިން ވަނީ އުމުރުން 20-87 އަހަރާ ދެމެދުގެ 473 މީހެއްގެ ބަރުދަނާއި އެ މީހުންގެ އުމުރާ ގުޅޭ ބަރުދަނާއި ސިކުނޑީގެ ހާލަތު ހުރި ގޮތް ދެނެގެންފަ އެވެ. ނިއުރޮބަޔޮލޮޖީ އޮފް އޭޖިންގައި ޝާއިއުކޮށްފައިވާ ދިރާސާގައި ބުނާ ގޮތުން އުމުރާ އެކަށީގެން ނުވާ ބަރުދަން ހުރި މީހުންގެ ސިކުނޑީގެ ހާލަތު އުމުރާ އެކަށީގެން ނުވާ މިންވަރަށް ދަށްވެފައިވާކަން ވަރަށް ބޮޑަށް ފާހަގަވި އެވެ.
ޖުމުލަ ގޮތެއްގައި ބަލާއިރު، ބަރު މީހުންގެ ސިކުނޑީގައި ވައިޓް މެޓާ މަދެވެ. އެކަމަކު މި ތަފާތު ސިކުނޑިން ފެންނަން ފަށަނީ މެދު އުމުރަށް އެޅުމަށް ފަހުގައި ކަމަށް ވެސް ދިރާސާގައި ބުނެފައިވެ އެވެ.
ސައިންސްވެރިން ބުނެފައި ވަނީ މާބޮޑަށް ފަލަވުން ނުވަތަ އޮބީސް ވުމަކީ އެކަމަކުގެ ސަބަބުން ހަށިގަނޑަށް އެކި ގޮތްގޮތުން ބޮޑެތި ބަދަލުތަކެއް އަންނަ ކަމެއްކަން މިހާރު އެނގޭ ކަމަށާއި އާ ދިރާސާއިން ވެސް ހެކި ދެނީ އެކަމަށް ކަމަށެވެ.